
Paradontologija je oblast stomatologije koja se bavi sprečavanjem, ranom dijagnozom i lečenjem paradontopatije. Redovni pregledi i adekvatna oralna higijena, predstavljaju prevenciju ove bolesti.

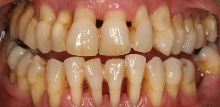
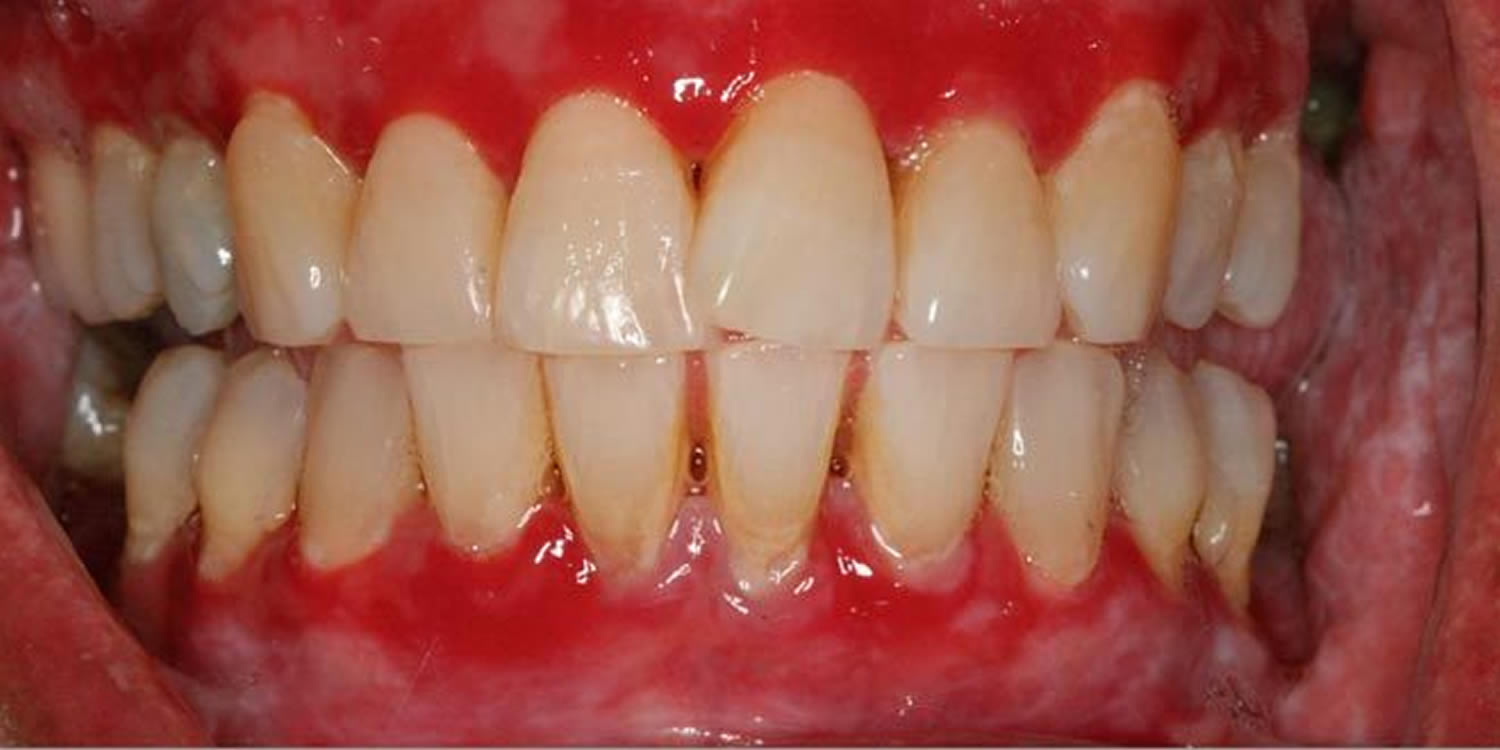
Bolesti desni (gingivitis i parodontopatija) su veoma česte, a često i tihe – ne daju simptome dok ne dođe do uznapredovalog oštećenja.
Simptomi na koje treba obratiti pažnju:

Gingivitis je početni, blaži oblik upale desni koji se javlja usled nagomilavanja plaka i kamenca. Ako se ne leči, može preći u parodontopatiju, ozbiljniju hroničnu bolest koja zahvata i kost i dovodi do gubitka zuba.

1. Profesionalno čišćenje zuba
Uklanjanje plaka i kamenca ultrazvučnim aparatom i peskarenjem – osnov prevencije bolesti desni.
2. Kiretaža džepova (zatvorena i otvorena)
Dubinsko čišćenje ispod linije desni – uklanjaju se naslage koje se ne mogu očistiti redovnim pranjem.
3. Antibakterijska terapija
Upotreba lokalnih ili sistemskih antibiotika uz terapiju.
4. Hirurški tretmani
U težim slučajevima – preoblikovanje desni, regeneracija kosti, transplantacija mekih tkiva.
5. Praćenje i kontrola
Redovne kontrole i održavanje oralne higijene su ključne za uspeh terapije.
Zanemarene bolesti desni ne dovode samo do gubitka zuba, već su povezane sa brojnim sistemskim oboljenjima poput dijabetesa, srčanih bolesti i komplikacija u trudnoći. Rano otkrivanje i lečenje čuva ne samo osmeh, već i celokupno zdravlje.
Zapažate promene na desnima ili imate problema sa klimavim zubima? Ne čekajte da bolest napreduje. Zakazivanjem pregleda napravili ste prvi korak ka zdravom osmehu.